Innovative Solutions for Enhanced Oral Health

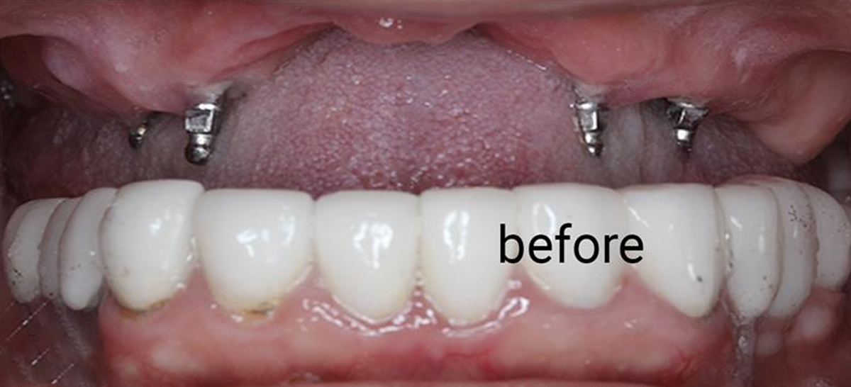
Zygoma Implants stand at the cutting edge of dental implant technology, offering a robust and innovative solution for those facing complex oral health challenges. Designed specifically for patients with insufficient bone density in the upper jaw, these implants provide a secure foundation for dental prosthetics, utilizing the dense zygomatic bone.

Advanced Approach for Complex Cases:

Zygoma Implants are ideal for patients who cannot undergo traditional dental implants due to severe bone loss. By anchoring in the zygomatic bone, they bypass the need for extensive bone grafting, offering a quicker and less invasive solution.



Expertise and Precision:

Cleft lip and palate surgery doesn't just transform appearances; it transforms lives. It's a testament to the resilience of individuals, the dedication of medical experts, and the potential for positive change. As we continue to advance in medical technology and understanding, the future holds even more promise for those seeking to embark on this life-altering journey.



Immediate Function and Aesthetics:

One of the significant advantages of Zygoma Implants is the ability to attach prosthetic teeth soon after implant placement, offering immediate improvements in function and aesthetics. This quick turnaround is especially beneficial for patients seeking to minimize treatment time and discomfort.



Enhanced Comfort and Confidence:

With Zygoma Implants, patients can enjoy a restored smile, improved oral function, and increased confidence. These implants are designed for long-term stability and comfort, significantly enhancing the quality of life for those with complex dental needs.

Our Other Procedures

We possess advanced expertise in addressing complex and distressing conditions that impact the well-being and self-assurance of numerous individuals. It's possible that you might be dealing with a situation unknowingly. Individuals often contact us concerning cosmetic concerns, only to discover that these are linked to issues like fatigue or respiratory challenges. Initiating contact with us marks the initial stride towards commencing a journey to find the appropriate treatment tailored to your needs.

More